会员动态
岛津成像质谱显微镜应用专题丨多模式成像分析小鼠心肌梗塞
简介
作为一种成像技术,磁共振成像(MRI)广泛应用于日常临床诊疗中。为了在检查过程中增强对比度,可以使用几种不同的造影剂。由于五个或七个不成对电子具有出色的顺磁性,因此最常使用Fe3+、Mn2+或Gd3+。因游离形态的Gd3+具有毒性,此探针与氨基羧酸一起作为复合物给药。大多数钆造影剂(GBCA)是全身分布的,一些靶向特异性GBCA也正在研究中。
图1 Gadofluorine P的结构
Gadofluorine P是一种靶向造影剂,对富含胶原蛋白的细胞外基质(ECM)具有高亲和性,ECM在发生心肌梗塞(MI)时分泌。多模式生物成像技术能够可视化靶向造影剂的分布。使用激光剥蚀与电感耦合等离子体质谱(LA-ICP-MS)以高空间分辨率在元素水平上生成定量图像,而基质辅助激光解吸电离质谱(MALDI-MS)用于在分子水平上验证研究结果,提供更多分布信息,例如磷脂或血红素b的分布。
材料和方法
动物实验
此项动物实验在明斯特大学医院临床放射学研究所Moritz Wildgruber教授的研究小组进行。使用诱导心肌梗塞六周的小鼠,注射照影剂Gadofluorine P后进行MRI检查。小鼠被处死后,取出心脏并快速冷冻。用冷冻切片机制备厚度为10μm的切片。
标准品制备
对于LA-ICP-MS分析,用明胶制备基体匹配标准品,用于外标 校正。明胶(10%w/w)添加9种不同浓度,范围为0至5000 μg/g Gd。另制备了厚度为10μm的标准品切片。
样品制备
对于MALDI-MS成像分析,将切片放置于氧化铟锡(ITO)涂层的载玻片上。先用升华法涂敷α-氰基-4-羟基肉桂酸(CHCA)至组织表面,然后用500μl水和50μl甲醇混合溶液喷雾于组织表面2.5分钟进行再结晶。
分析条件
对于LA-ICP-MS分析,使用Tygon管,将ICPMS-2030与激光剥蚀系统LSX-213 G2+(Teledyne CETAC)连接,此系统配有HelEX II池和波长为213nm的Nd-YAG激光。氦气用于剥蚀池的冲洗和传输。ICP-MS 2030配有镍采样锥和截取锥。
在碰撞模式下,31P、57Fe、66Zn、158Gd和160Gd的积分时间为100ms条件下进行测量。每种标准品的标准曲线使用了10个浓度水平进行分析,并且同样的条件下分析了样品(表1)。
表1 LA-ICP-MS的实验条件
MALDI-MS分析使用了配有离子阱-飞行时间(IT-TOF)质谱分析仪iMScope TRIO。选择正离子模式,质量范围为m/z 700到1200。其他实验条件列于表2中。基质使用iMLayer升华20分钟。
表2 MALDI-MS的实验条件
结果
LA-ICP-MS
用基体匹配标准品进行的外标法定量分析结果显示,在高达5000μg/g的浓度范围内存在良好的线性关系,相关系数R2为0.997。采用15μm光斑尺寸时,基于158Gd的检测限(LOD)为43ng/g Gd,定量限(LOQ)为140ng/g Gd(根据Boumans[1]算出)。
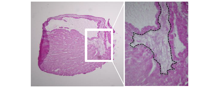
图2 小鼠心脏组织切片的H&E染色
图2所示为连续切片的苏木精伊红染色结果,检测出心肌梗塞的区域(以黑线标出)。
图3 两个连续切片的显微图像(a.和b.);经LA-ICP-MS测定的Gd定量分布(c.);
Gadofluorine P的配体分布(d.);配体结构及理论峰值(青色条)、MALDI-MS测定峰值(黑线)(e.)
图3所示为两个连续切片的显微图像(a.和b.)。使用LA-ICP-MS(c.),检测到健康心肌中Gd的均匀分布,平均浓度约为50μg/g。梗塞区的Gd浓度高两倍,约为110μg/g,最高值可达370μg/g。
由于静脉注射造影剂的作用,心室中也存在较高浓度的Gd。
这些分布可以通过MALDI-MS成像进行验证(d.)。该实验中,只能检测到Gadofluorine P的质子化配体,而不是完整的复合物(e.)。结果显示,主峰m/z 1168.39的质谱成像图与LA-ICP-MS检测的Gd分布具有良好的相关性。在心机梗塞和心室区发现了分子探针的最高强度,而健康心肌则显示出低而均匀的强度。
结论
该应用表明,元素选择性(LA-ICP-MS)和分子选择性(MALDI-MS)成像技术的组合是可视化心机梗塞后小鼠心脏组织中靶向钆造影剂分布的有力工具。
通过LA-ICP-MS技术实现了高空间分辨率和定量,并通过MALDI-MS在分子水平上验证了其分布。
参考文献
[1] P.W.J.M.Boumans, Spectrochimica Acta 1991, 46 B, 641-665.
文献题目
《Gadofluorine P多模式生物成像分析用于小鼠心肌梗塞研究》
使用仪器
岛津iMScope TRIO
作者
Rebecca Buchholz1、Fabian Lohofer2、Michael Sperling1,3、Moritz Wildgruber4、Uwe Karst1
1 明斯特大学无机和分析化学研究所
2 慕尼黑工业大学放射学研究所
3 明斯特欧洲物种分析虚拟研究所(EVISA)
4 明斯特大学医院临床放射学研究所
声明
1、本文不提供文献原文。
2、所引用文献仅供读者研究和学习参考,不得用于其他营利性活动。
本文内容非商业广告,仅供专业人士参考。





