行业资讯
中国科学院海洋研究所研究发现红球藻虾青素保护作用溶酶体自噬新途径
近日,中科院海洋所刘建国研究团队在红球藻虾青素保护作用研究上取得重要发现,证实红球藻虾青素存在着区别于传统淬灭自由基和抗氧化作用的另一条新途径。相关结果以研究论文形式发表于国际学术期刊《藻类研究》(Algal Research)上,为诠释红球藻虾青素多重生理活性和功效作用以及该资源开发利用提供了新思路。
红球藻虾青素具有独特的分子结构、超强的抗氧化性和淬灭清除自由基能力,对肌体各个系统、器官组织、细胞和生物大分子层面都呈现很好的保护作用,以往也仅仅据此诠释其多种生物学功效和作用调控机制,但鲜有研究与广泛存在于真核生物的自噬或溶酶体联系在一起。
本研究利用天然虾青素、β-胡萝卜素或安慰剂饲喂Wistar大鼠,并借助庆大霉素诱导急性肾损伤,通过检测肾组织重要生理指标、结合组织病理学和亚细胞图像的定性证据、血尿素氮和血清肌酐的治疗效果以及酸性磷酸酶活性等定量证据,发现红球藻虾青素具有诱导溶酶体增多和体积增大、溶酶体酸性磷酸酶活性增强,证实红球藻虾青素通过自噬-溶酶体解毒途径对部分急性肾损伤具有很好的保护作用,约3-4成急性肾损伤肾脏仍然保持正常的健康结构和功能。红球藻虾青素的上述保护作用与传统的抗氧化和SOD依赖性自由基清除系统完全不同,同时还揭示红球藻虾青素的抗化学损伤和保护肾脏免受损伤作用也明显超过β-胡萝卜素。
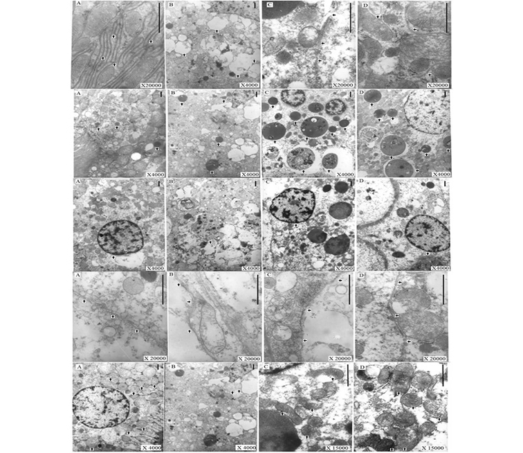
红球藻虾青素对急性肾损伤wistar大鼠亚细胞结构的影响。
自上而下,肾小球内质网、溶酶体、细胞核、细胞质膜和线粒体;A组,阴性对照;B组,阳性对照;C组,低剂量红球藻虾青素饲喂组;D组,高剂量虾青素饲喂组
红球藻虾青素对急性肾损伤wistar大鼠的肾功能和溶酶体活性的影响
基于自噬是通过溶酶体对细胞结构吞噬降解, 清除胞内损伤和衰老细胞器以及生物大分子等的普遍现象,并可为细胞的更新重构提供原料。近年来研究还先后证实自噬与生长、生殖、炎症、衰老、死亡等重要生理和病理过程,以及大脑和神经系统、肝肾心脏等疾病和癌症发生都具有密切关系,同时很多化学污染以及一些重要流行性疾病(如COVID-19、MERS和SARS)均可诱发急性肾损伤甚至死亡。本研究天然红球藻虾青素通过介导自噬-溶酶体途径发挥保护作用的发现,对探讨其多重药食同源功效、提高人类健康水平、推动该资源开发都具有重要的理论和应用价值。
研究由中科院海洋所藻类与藻类生物技术团队、中国医学科学院医学实验动物研究所何君教授团队、加拿大哥伦比亚大学医学院科研人员共同完成。中科院海洋所刘建国研究员为论文通讯作者。研究得到了中国科学院、山东省等项目资助。(实验海洋生物学重点实验室)
论文链接:
Yang Doris Liu, Jun He, Weiying Luan, Yanfeng Xu, Qianqian Li, Lishan Pan, Jianguo Liu,A new autophagy-driven protective pathway of Haematococcus astaxanthin against chemical damage in wistar rats with gentamicin-induced acute kidney injury. Algal Research 72 (2023) 103107.
https://doi.org/10.1016/j.algal.2023.103107
                    
                
